السبت 15، نوفمبر 2025
13º
منذ 9 سنوات

هذه أسباب 'استسقاء' الرأس عند المواليد الجدد!

حجم الخط
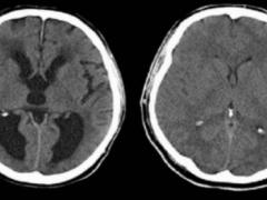
شبكة وتر- أكد علماء أن من أسباب استسقاء الرأس أو ما يعرف بتراكم السائل الدماغي في تجاويف وجيوب دماغ المواليد الجدد، هو انخفاض في تركيز بروتين معين في أجسام المواليد يسمى "البروتين SNX27"، وفق مجلة "Neuroscience". وأشار العلماء إلى أن "SNX27" هو نفس البروتين الذي يؤدي فقدانه في الجسم إلى ظهور متلازمة "داون"، كما انه له وظائف مهمة في الجسم، فهو مسؤول عن نقل عدد من البروتينات ضمن السيتوبلازما أو من خلال أغشية الخلايا. كما أثبتت التجارب على الفئران أنه في حال تم حجب هذا البروتين في الجسم فسيتسبب ذلك بمشاكل كبيرة في الذاكرة والقدرة على التعلم، وتلك المشاكل مشابهة إلى حد كبير لبعض الأعراض التي تتسبب بها متلازمة داون. وأكد العلماء أن التجارب على الفئران أظهرت أيضا أن "الاستسقاء الرأسي" التي تصاب به القوارض سببه مشاكل في الخلايا "البطانية" لبعض تجاويف الدماغ ما يؤدي إلى تراكم السوائل في تلك التجاويف، ومشاكل الخلايا تلك يعود سببها إلى فقدان بروتين "SNX27". والجدير بالذكر أن الجريان الصحيح لحركة السوائل في الرأس يمنع تراكمها في التجاويف الداخلية للدماغ، بالإضافة إلى أنه يساعد على التخلص من جزيئات "بيتا amyloids" المرتبطة بتطور مرض الزهايمر.